Dental Crown in Turkey Before and After

Welcome to our photo gallery of dental crown before and after in Turkey. We have selected a varied portfolio to give you a realistic idea of what you can expect from your dental treatment in Istanbul. At Care in Turkey, we work with the best products delivered to us by the best German, Swiss and Korean dental partners, such as Straumann and Ivoclar.

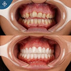
On-Tooth Dental Crowns Before and After

On-Tooth Dental Crowns Before and After
On-Tooth Dental Crowns Before and After
On-Tooth Dental Crowns Before and After

Our patient wanted a complete dental makeover without any tooth extraction. She came to Istanbul to receive a full set of dental crowns placed on top of her natural teeth. The results? Radiant and long-lasting.

X-Tra White Dental Crowns Before/After

X-Tra White Dental Crowns Before/After
X-Tra White Dental Crowns Before/After
X-Tra White Dental Crowns Before/After

Here is a patient who wanted a long-lasting solution for a radiant white smile without tooth extraction. Although she could have opted for dental veneers, she went for crowns instead and chose one of the whitest options in our colour palette.

Tooth Extraction + Crowns Before & After

Tooth Extraction + Crowns Before & After
Tooth Extraction + Crowns Before & After
Tooth Extraction + Crowns Before & After

Here is an example of a patient who required an in-depth treatment, including tooth extraction and dental implants on her upper jaw. Orthodontic treatments would have taken a long time and would have been very costly, with little effect on the state of her denture. So, she opted for a complete Hollywood Smile dental makeover instead.

Strong Teeth Degradation + Crowns

Strong Teeth Degradation + Crowns
Strong Teeth Degradation + Crowns
Strong Teeth Degradation + Crowns

This patient was in an advanced stage of dental decay, with caries developing in most of his teeth. There was little to be done to reverse the situation and keep teeth from rotting. So, he opted for a complete smile makeover in Turkey, including tooth extraction and long-lasting zirconium crowns.

Full Mouth Dental Crowns Before and After in Turkey

Full Mouth Dental Crowns Before and After in Turkey
Full Mouth Dental Crowns Before and After in Turkey
Full Mouth Dental Crowns Before and After in Turkey

This patient had slight imperfections on the left side of her jaw, near the mid-section. When she heard about the cost of an entire mouth makeover, she took her change to achieve a full Hollywood Smile.

Dental Crowns Whitening

Dental Crowns Whitening
Dental Crowns Whitening
Dental Crowns Whitening

Here is an example of a patient who wanted a complete teeth whitening for her dental crowns. Smoking, tea drinking and coffee stain crowns just as natural teeth. She came to us and benefitted from our treatment to restore the spark on her pearly whites.

500+ patients helped

Free Consultation

100% Private Reply in 24h